Bilateral pseudoangiomatous stromal hyperplasia in a twelve-year-old female: a case report
Highlight box
Key findings
• Pseudoangiomatous stromal hyperplasia (PASH) is a rare benign breast disease most commonly seen in perimenopausal females as a discrete palpable mass.
• PASH diagnosis can be missed on core needle biopsy and sometimes requires additional confirmation with immunohistochemistry.
• Our case presents a 12-year-old female with bilateral PASH treated by bilateral excisional biopsy.
What is known and what is new?
• PASH is a rare benign breast disease that is hormonally influenced.
• Most cases report a discrete palpable lesion in a perimenopausal female.
• Management of pediatric PASH is infrequently described in the literature.
• Our patient was peri-pubescent with diffuse, bilateral PASH treated by bilateral excisional biopsy.
What is the implication, and what should change now?
• In the instance of bilateral diffuse PASH in younger patients, the optimal surgical management is still debated due to risk of recurrence after resection.
• Further research, surgical approach, and surveillance strategies regarding pediatric PASH is warranted.
Introduction
Pseudoangiomatous stromal hyperplasia (PASH) is a benign mesenchymal proliferative lesion of the breast associated with fibrocystic changes, fibroadenomas, gynecomastia, or breast cancer (1). The initial description was by Vuitch et al. in 1986 who described a patient with a palpable breast mass (2). Only 109 cases have been reported since 2005, all of which suggest PASH is an incidental pathologic finding. While the etiology and pathogenesis of PASH is still unknown, evidence suggests that PASH is due to hormonal stimulation of mammary myofibroblasts (1,3). PASH typically shows a bimodal distribution during hormonally active years—peri-pubescent and perimenopausal—with the latter being more common (4).
PASH is diagnosed pathologically by visualization of myofibroblasts arranged in slit-like spaces with intervening collagen (5). On ultrasound, PASH appears as a hypoechoic, circumscribed mass, similar to a fibroadenoma (6). On mammography it appears as a noncalcified, circumscribed mass, also similar to a fibroadenoma (6). On physical exam, most cases of PASH present with a palpable firm mass; rarely does it present as a diffuse, infiltrative process resulting in bilateral breast hypertrophy (7) such as our case. Observation or surgical excision is the recommended treatment (8). We present a case of bilateral PASH in a 12-year-old female and our surgical treatment in accordance with the CARE reporting checklist (available at https://abs.amegroups.com/article/view/10.21037/abs-25-46/rc).
Case presentation
All procedures performed in this study were in accordance with the ethical standards of the institutional and/or national research committee(s) and with the Declaration of Helsinki and its subsequent amendments. Written informed consent was obtained from the patient’s parent for the publication of this case report and accompanying images. A copy of the written consent is available for review by the editorial office of this journal.
Our patient was a peri-pubescent 12-year-old African American female who was referred to the breast surgery clinic with an enlarging right breast over a 4-week period. She denied a personal or family history of breast disease. The patient was pre-menstrual and Tanner stage II, as defined by palpable glandular tissue in the subareolar region without areolar pigmentation changes (9). On exam, the right breast was noticeably larger than the left (Figure 1) and on palpation, firm, dense breast tissue was appreciated without a discrete masse, nipple changes, or discharge. A right breast ultrasound resulted as heterogenous soft tissue echogenicity with internal vascularity. A core needle biopsy (CNB) was performed which resulted in several specimens that were reviewed by two pathologists. It resulted as a fibroepithelial lesion, favoring juvenile fibroadenoma. The patient was then referred to our breast surgery clinic. Due to the rapid growth of the lesion and possibility of malignancy, the patient was offered an excisional biopsy, for which she and her parents consented.
In the operating room, an inframammary incision was made, and flaps were elevated, similar in technique to starting a nipple sparing mastectomy (Figure 2). The dissection plane was difficult to discern because the pathology was diffusely infiltrated into the breast tissue. There was no discrete mass with clear borders. After excision, the only remaining breast tissue was <1 cm thickness directly under the nipple areolar complex (NAC) (Figures 2,3). This was spared in an effort to allow for future natural breast development and to maintain blood supply to the nipple. Final surgical pathology resulted as PASH, usual ductal hyperplasia, and focal apocrine metaplasia (Figure 4).
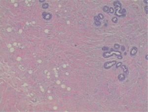
Two months later, the patient returned to the clinic with expansive growth of the left breast, similar in appearance and timeline to the right breast (Figure 5). An ultrasound was obtained that showed a large mass encompassing all four quadrants with homogeneous echotexture and scattered cystic spaces. Given a similar presentation to the other breast, a CNB was again performed. Using a 12-gauge BARD core device under direct ultrasound visualization, 5 samples were obtained. This resulted as a juvenile fibroadenoma, which was concordant with imaging. The patient again underwent left breast excisional biopsy (Figure 6). The incision, dissection, and closure were nearly identical to her contralateral surgery. Final pathology resulted as juvenile fibroadenoma, PASH, and fibrocystic changes (Figure 7) as confirmed by two pathologists.
At a six week follow up appointment after the right breast excisional biopsy, the patient had loss of pigmentation of the nipple and areola complex. This was likely secondary to the excessive stretching from the PASH tumor. The incision was healing well. At the follow up appointment for the left breast surgery however, she was noted to have a seroma with skin separation at the incision. This ultimately required operative debridement and re-closure. Additionally, hypopigmentation of the left NAC (Figure 8) was noted by postoperative week 6 but the incision was healed.
Throughout the postoperative period for both breasts, the patient reported mental distress for which she was receiving counseling. At a 6-month postoperative appointment from the left excisional breast biopsy and 10-month from the right excisional breast biopsy, the patient reported feeling well mentally and physically and had no further breast growth bilaterally. The plan is for a clinical breast exam every 6 months until she completes development. As the patient ages, she will consider breast reconstruction and tattoo on the nipple and areola where there is pigment loss.
Discussion
PASH lesions are rare in clinical practice but when they do present, they are usually a unilateral, palpable defined mass, like a fibroadenoma, without nipple or skin changes. PASH is typically an incidental diagnosis made during histological examination. However, false negative rates of PASH diagnosis have been reported after a CNB, likely due to the heterogeneous histological composition of the lesion (10). In a retrospective study evaluating the ultrasound features and biopsy methods to correctly identify PASH, the diagnosis was missed in six out of twenty-eight patients who underwent CNB. Only after an additional excisional biopsy was a diagnosis of PASH made for the six patients (10). This occurred to our patient as well.
PASH can be seen histologically with other benign breast diagnoses, such as our patient, but could also be misdiagnosed as malignant, specifically angiosarcoma. In PASH, the visualized slit-like spaces are made up of myofibroblasts with collagen between the slits whereas in angiosarcoma, the slit-like spaces are anastomosing blood vessels (5). Immunohistochemistry (IHC) can be used to confirm PASH from angiosarcoma. PASH tumors express CD34, vimentin, and focally smooth muscle markers such as actin, desmin and bcl-2 (11). This is in contrast with angiosarcoma where endothelial markers such as CD31 and factor VIII are positive (11). IHC was not done for our patient because after discussion with staff pathologists who read our patient’s surgical pathology, none felt that IHC was necessary. Her clinical course and history were more consistent with PASH than angiosarcoma. However, in cases where there is confusion, such as a patient with a history of radiation that would raise the risk of an angiosarcoma, use of IHC could help differentiate the diagnosis.
The reported age range of PASH is 14 to 67 years with the majority of patients presenting in perimenopause (12). Few patients show diffuse, rapid enlargement of either breast, let alone both, like our peri-pubescent patient. Our review discovered a case series of bilateral rapid breast growth in younger patients, but they were diagnosed with PASH during pregnancy (ages 23, 33, and 43 years respectively) (7). In the case of Almohawes et al., they reported a pediatric patient who had PASH at 12 years old but was unilateral (13). Two case reports detail bilateral PASH in young adolescent females, ages 10- and 11-year-old, but both were already menstruating and had concomitant breast growth rather than months in between breast hypertrophy like our patient (14,15).
The management of PASH depends on factors such as the size of the lesion and severity of symptoms. In the absence of suspicious cancerous or precancerous features, close interval follow-up is usually preferred (16). However, in cases of rapid growth or suspicious radiologic features, surgical excisional biopsy is recommended (16). If the PASH is a discrete mass, similar to a fibroadenoma, excisional biopsy with negative margins can reduce the recurrence rate. However, in the instance of bilateral, recurrent, infiltrative PASH such as ours, the surgical approach is still debated. Additional further debate is required for younger patients. Techniques include repeat excisional biopsy, reduction mammoplasty, or mastectomy. Yturralde et al. described a case of a 16-year-old female with bilateral severe PASH that was managed by reduction mammoplasty (17). At a 10-year follow-up, she experienced a successful full-term pregnancy and breastfeeding without evidence of PASH recurrence (17). Further, in a case of a 27-year-old female with relapsing bilateral breast hypertrophy from PASH, a mastectomy with free nipple grafting was ultimately performed after failing a previous breast reduction surgery (18). Mastectomy is still considered to be the endpoint of this condition in relapsing cases.
A strength of our case report is that our patient is young and can be followed long term for recurrence. A limitation is a single patient outcome. Intraoperatively, we were expecting a clear dissection plane around a discrete mass, a presumed fibroadenoma, but instead found a diffuse, infiltrative disease process into the breast tissue. To preserve natural breast tissue and blood supply to the NAC, a remnant (<1 cm) of breast tissue was left under the NAC. However, residual PASH may have been left due to the infiltrative pathology, leading to a potential for recurrence. Our patient will be followed over the next several years with clinical breast exams and possible imaging to assess breast growth. Should breast growth occur, it will be unknown whether the growth is natural breast tissue or recurrence of PASH. Further research regarding management of re-growth is warranted in adolescent patients.
Conclusions
PASH is an uncommon, benign, proliferative, unilateral lesion typically seen in a perimenopausal female. PASH is histologically diagnosed by visualization of slit-like spaces with a background of other breast histology. Observation versus excisional biopsy is the preferred treatment. We present a unique case of PASH in a 12-year-old female, tanner stage II, with rapid, diffuse growth bilaterally over 4 months’ time. Both breasts were treated by excisional biopsy. Time will be the biggest factor regarding PASH recurrence and growth of her natural breast tissue as she finishes puberty.
Acknowledgments
The authors would like to thank Dr. Yomi Asojo, MD, breast pathologist, for slide preparation. We would also like to thank Dr. Kristen Marshall, PhD for editing assistance. The views expressed in this publication represent those of the author(s) and do not necessarily represent the official views of HCA Healthcare or any of its affiliated entities.
Footnote
Reporting Checklist: The authors have completed the CARE reporting checklist. Available at https://abs.amegroups.com/article/view/10.21037/abs-25-46/rc
Peer Review File: Available at https://abs.amegroups.com/article/view/10.21037/abs-25-46/prf
Funding: This research was supported (in whole or in part) by
Conflicts of Interest: All authors have completed the ICMJE uniform disclosure form (available at https://abs.amegroups.com/article/view/10.21037/abs-25-46/coif). A.M. and T.S. are employees of HCA. This research was supported (in whole or in part) by HCA Healthcare and/or an HCA Healthcare affiliated entity. The authors have no other conflicts of interest to declare.
Ethical Statement: The authors are accountable for all aspects of the work in ensuring that questions related to the accuracy or integrity of any part of the work are appropriately investigated and resolved. All procedures performed in this study were in accordance with the ethical standards of the institutional and/or national research committee(s) and with the Declaration of Helsinki and its subsequent amendments. Written informed consent was obtained from the patient’s parent for the publication of this case report and accompanying images. A copy of the written consent is available for review by the editorial office of this journal.
Open Access Statement: This is an Open Access article distributed in accordance with the Creative Commons Attribution-NonCommercial-NoDerivs 4.0 International License (CC BY-NC-ND 4.0), which permits the non-commercial replication and distribution of the article with the strict proviso that no changes or edits are made and the original work is properly cited (including links to both the formal publication through the relevant DOI and the license). See: https://creativecommons.org/licenses/by-nc-nd/4.0/.
References
- Krawczyk N, Fehm T, Ruckhäberle E, et al. Bilateral Diffuse Pseudoangiomatous Stromal Hyperplasia (PASH) Causing Gigantomastia in a 33-Year-Old Pregnant Woman: Case Report. Breast Care (Basel) 2016;11:356-8. [Crossref] [PubMed]
- Estes A, Cao L, Miller M. Pseudoangiomatous stromal hyperplasia: overview and clinical management. Ann Breast Surg 2020;4:22.
- Alikhassi A, Skarpathiotakis M, Lu FL, et al. Pseudoangiomatous stromal hyperplasia of the breast, imaging and clinical perspective: A review. Breast Dis 2023;42:147-53. [Crossref] [PubMed]
- Patel G, Bipte S, Narurkar S. Pseudoangiomatous stromal hyperplasia: A clinical perspective and a brief review. J Cancer Res Ther 2023;19:1714-20. [Crossref] [PubMed]
- Jaunoo SS, Thrush S, Dunn P. Pseudoangiomatous stromal hyperplasia (PASH): a brief review. Int J Surg 2011;9:20-2. [Crossref] [PubMed]
- Raj SD, Sahani VG, Adrada BE, et al. Pseudoangiomatous Stromal Hyperplasia of the Breast: Multimodality Review With Pathologic Correlation. Curr Probl Diagn Radiol 2017;46:130-5. [Crossref] [PubMed]
- Yu M, Shi G, Gao Z, et al. A case report and a literature review of double mammary pseudoangiomatous stromal hyperplasia associated with galactoma during pregnancy. Front Oncol 2024;14:1359886. [Crossref] [PubMed]
- Spina E, Esposito E, Siani C, et al. Pseudoangiomatous stromal hyperplasia (PASH) of the breast: A case series. Updates Surg 2024;76:2953-9. [Crossref] [PubMed]
- Harris JR, Lippman ME, Morrow M, et al. editors. Diseases of the Breast (4th ed.). Wolters Kluwer PE; 2010.
- Choi YJ, Ko EY, Kook S. Diagnosis of pseudoangiomatous stromal hyperplasia of the breast: ultrasonography findings and different biopsy methods. Yonsei Med J 2008;49:757-64. [Crossref] [PubMed]
- Bowman E, Oprea G, Okoli J, et al. Pseudoangiomatous stromal hyperplasia (PASH) of the breast: a series of 24 patients. Breast J 2012;18:242-7. [Crossref] [PubMed]
- Smilg P. Pseudoangiomatous stromal hyperplasia: Presentation and management - a clinical perspective. SA J Radiol 2018;22:1366. [Crossref] [PubMed]
- Almohawes E, Khoumais N, Arafah M. Pseudoangiomatous stromal hyperplasia of the breast: a case report of a 12-year-old girl. Radiol Case Rep 2015;10:1-4. [Crossref] [PubMed]
- Márquez Rivera M, Corredor Andrés B, Azorín Cuadrillero D, et al. Hiperplasia estromal pseudoangiomatosa mamaria bilateral. An Pediatr (Barc) 2018;89:309-11. [Crossref] [PubMed]
- El Zayat I, Elzayat A, Farrow H. Case Report: Diagnosis of Bilateral PASH (Pseudoangiomatous Stromal Hyperplasia) in an 11-Year-Old Female, British Journal of Surgery 2022;109:269.068.
- Ko SY, Koh MJ. Bilateral diffuse tumorous pseudoangiomatous stromal hyperplasia treated with bilateral mastectomy in a 40-year-old woman. Radiol Case Rep 2018;13:1271-5. [Crossref] [PubMed]
- Yturralde KJ, Friedman HI. Treatment of Pseudoangiomatous Stromal Hyperplasia of the Breast: Literature Review and Successful Management of a Teenage Girl by Breast Reduction With 10-Year Follow-up. Ann Plast Surg 2023;91:194-7. [Crossref] [PubMed]
- Parisi P, Vinci F, Di Meglio F, et al. Recurrent Extreme Bilateral Gigantomastia Caused by Pseudoangiomatous Stromal Hyperplasia (PASH) Syndrome: A Case Report. Plast Reconstr Surg Glob Open 2023;11:e4571. [Crossref] [PubMed]
Cite this article as: McMillan A, Sullivan T, Moore J, Pride RM. Bilateral pseudoangiomatous stromal hyperplasia in a twelve-year-old female: a case report. Ann Breast Surg 2026;10:7.

